Workflow
暖宝宝
icon
搜索文档
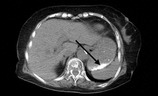
“以为那是芝麻糊…”七旬奶奶用“保暖神器”泡水,直接送进急诊!
新浪财经· 2026-02-08 20:21
事件概述 - 一名73岁老人误将暖宝宝内黑色粉末当作芝麻糊冲服 随后出现头晕不适被送医[1] - 急诊医生接诊后立即启动应急响应和多学科救治 进行护胃补液等支持治疗并完成腹部CT检查[1] - CT结果显示胃部及部分小肠内有多发致密影 表明粉末已散布于上消化道 存在化学性灼伤 肠穿孔及肠梗阻风险[2][4] - 消化内科医生实施紧急胃镜探查与异物清除术 成功吸除胃内残留粉末[5] - 患者病情得到有效控制 经数日住院观察后已顺利出院[5] 暖宝宝成分与误食风险 - 暖宝宝发热芯材主要由还原铁粉 活性炭 蛭石 氯化钠等物质混合构成[5] - 误食风险主要包括三重:化学性损伤 铁粉在胃酸中氧化放热可能引起黏膜灼伤甚至穿孔[5];物理性风险 粉末可能黏附刺激消化道黏膜 大量积聚可能引发肠梗阻[5];误吸危险 呕吐或吞咽时粉末呛入气管可能导致吸入性肺炎或呼吸道梗阻 对老年人威胁尤甚[5] 误食事件应急处置指引 - 发现误食后应立即送医 并携带误食物品的残余部分和包装 以协助医生判断成分[6] - 切勿盲目催吐 尤其对于腐蚀性物质或意识不清者 以免造成二次损伤或窒息[7] - 应遵从专业处置 医生将根据异物性质与位置决定采取胃镜取出 药物治疗或手术等方案[8] 老年人照护安全建议 - 老年人因认知功能下降易发生误食误服意外[10] - 建议进行“视线管理” 将药品 化学品及小件危险品安全上锁或置于无法触及的高处[11] - 建议简化环境 减少家中容易混淆的杂物[12] - 建议加强看护 确保患者在危险区域活动时处于看护者视线范围内[12] - 建议选择更安全的取暖方式替代 并用简单语言反复提醒危险物品“不能吃”[12]
没有感觉到烫 却被烫伤了 这是为啥?一图了解→
央视网· 2026-02-03 14:46
低温烫伤风险 - 49℃热源持续接触皮肤6小时可导致深部组织坏死[3] - 使用暖宝宝等取暖设备时需隔衣物且单次使用不宜超过4小时尤其应避免整夜使用[4][5] - 深度睡眠时人体痛觉敏感度下降60%整夜使用的热水袋或电热宝足以造成深II度甚至III度烫伤[6] 高温饮食致癌风险 - 长期食用过烫食物会反复灼伤食管黏膜增加细胞突变与癌变风险[10] - 国际癌症研究机构已将65℃以上热饮列为2A类致癌物[11] - 判断食物温度是否超过65℃的简易方法是用手握住器皿若能轻松耐受5秒以上则温度适宜[14] 蒸汽眼罩使用规范 - 使用蒸汽眼罩过夜可能导致眼睑皮肤烫伤引发眼睛发痒发红等不适症状建议单次使用时长控制在15分钟内[16] - 合规蒸汽眼罩通常具备合理发热温度与时长例如热敷温度42℃发热时长约20分钟[18] - 佩戴美瞳或隐形眼镜眼周化妆滴眼药水不足10分钟以及眼部有急性炎症时不宜使用蒸汽眼罩[19] 洗浴与吹风安全 - 冬季洗澡水温过高会加剧皮肤干燥瘙痒症状并可能因血液集中至皮肤表面导致心脏缺血缺氧引发头晕或心脑血管疾病[21][22] - 使用吹风机时头发表面温度最好不高于50℃高温会令头发外层毛小皮弹性下降易发生断裂[24] - 吹风机用于吹干衣物时需及时断电避免发热机身直接接触衣物以防进风口堵塞导致电热丝过热引发火灾[28][29]
看不见的“温柔刀” 冬季低温烫伤高发需警惕
新浪财经· 2026-01-30 17:20
低温烫伤的定义与机制 - 低温烫伤指机体长时间接触44~50℃的中等温度热源造成的渐进性组织损害 [1] - 常见热源包括热水袋、暖宝宝、电热毯、艾灸贴、理疗仪、加热座椅等 [1] - 其过程类似“温水煮青蛙”,皮肤逐渐适应温度导致痛感迟钝,但持续低热会使皮肤表层脱水并造成损伤 [2] 低温烫伤的临床表现与特点 - 损伤程度可从Ⅰ度、浅Ⅱ度直至深Ⅱ度乃至Ⅲ度烫伤 [3] - Ⅰ度烫伤表现为皮肤发红、轻度肿胀和红斑,这是最常见的表现 [3] - Ⅱ度烫伤以水疱形成为特征,并可细分为浅Ⅱ度和深Ⅱ度 [3] - Ⅲ度烫伤表现为皮肤出现焦痂改变,属于深度损伤 [3] - 与高温烫伤相比,低温烫伤疼痛感不明显且面积较小,易被忽视 [4] - 症状显现时皮肤常已严重受损,且因作用时间长更容易造成深部组织坏死 [4] 低温烫伤与温度、时间的量化关系 - 研究显示在44~51℃时,损伤程度与接触时间成正相关 [4] - 49℃热源持续接触皮肤3分钟可导致表皮损害,超过9分钟表皮将坏死 [4] - 44℃热源持续接触6小时,可导致皮肤不可逆损伤 [4] 低温烫伤的预防措施 - 预防为先,应避免取暖用品紧贴皮肤使用 [5] - 同一部位连续使用取暖用品的时间不建议超过2小时 [5] - 睡前务必移开热源 [5] 低温烫伤的急救与错误处理警示 - 若发生低温烫伤,应按照急救四步骤操作 [5] - 切勿轻视或拖延就医,更不可外擦牙膏、大蒜等偏方 [7] - 此类错误操作易增加创面感染风险,加大后续处理难度,并影响医生判断 [7]
这个冬日,有“娘家人”温暖相伴
新浪财经· 2026-01-23 01:07
文章核心观点 - 北京各级工会在严寒天气下为户外劳动者提供多种形式的防寒慰问与暖心服务,体现了工会组织作为“娘家人”的关怀,有效提升了户外劳动者的工作积极性和归属感 [6][7][8] 工会对户外劳动者的具体慰问行动 - 首发集团公司工会为以雪为令的养护工送去热姜茶和新围巾等慰问物资 [6] - 北京公交保修分公司工会为时常外出作业的保修工送去帽子、手套、暖贴等防寒物资 [6] - 通州区玉桥街道总工会为环卫工人送去保温杯、暖宝宝等慰问物资 [7] - 大兴区生物医药基地总工会为快递员、外卖配送员送去包含护膝、防风帽、保温杯的“温暖包” [7] - 中建二局三公司项目工会为建筑工地工人熬制姜糖水并发放耳罩、暖贴等御寒物资 [7] - 北京燕联石化产品储运有限公司工会在“司机之家”为货车司机采购并送上手套、暖宝宝等防寒物品 [8] - 朝阳区八里庄街道总工会在党群服务中心门口为骑手提供姜糖水,并整合资源提供缝纫修补、中医义诊、法律咨询等服务 [8] 户外劳动者的反馈与感受 - 养护职工表示工会一早送来的温暖让他们心里暖融融的,并承诺做好扫雪养护工作确保道路安全畅通 [6] - 公交保修职工认为工会送来的防寒物资很实用,寒冬作业不再担心受冻 [6] - 环卫职工感到天气虽冷,但有了“娘家人”照护干劲更足 [7] - 快递员称赞工会赠送的防风帽实用,既保暖又不影响视线,考虑周到 [7] - 货车司机表示工会的关心从上车前延续到收车后,温暖送到了心坎上 [8]
警惕“温暖陷阱”防范低温烫伤
新浪财经· 2026-01-13 15:26
低温烫伤的定义与特点 - 低温烫伤指皮肤长时间接触41℃至60℃不算太高的热源 热量在皮肤和皮下组织逐渐积累造成的损伤 [2] - 与高温烫伤不同 低温烫伤疼痛感较轻但伤得更深 常伤及真皮甚至肌肉和神经 [2] - 初期易被误判为普通红肿而延误治疗 受伤数小时后才察觉 可能留下疤痕或慢性溃疡 [2] 易发生低温烫伤的高风险人群 - 老年人因皮肤老化、感觉迟钝 对温度变化不敏感 难以及时察觉不适 [3] - 糖尿病患者因长期高血糖导致外周神经病变 失去对热的敏锐感知 皮肤受损却浑然不觉 [3] - 婴幼儿皮肤娇嫩且无法清楚表达不舒服 [3] - 脑血管病后遗症或瘫痪患者存在感觉障碍 无法主动避开热源 [3] - 麻醉后、醉酒或服用安眠药的人意识模糊 长时间接触热源而不自知 [3] 常见导致低温烫伤的不当使用行为 - 暖宝宝或取暖器长时间对着身体同一部位烘烤 [4] - 电热毯整夜通电温度偏高 [4] - 热水袋紧贴皮肤过夜 [4] - 使用劣质取暖设备导致温度不稳、散热不均 [4] 安全使用取暖设备的正确方法 - 热水袋水温控制在50℃以下 装水七成左右 外裹毛巾 睡前取出 [4] - 暖宝宝不要直接贴皮肤 应隔一两层衣物 每两小时更换位置 [4] - 电热毯只需睡前预热 入睡后关闭电源 最好选用带自动断电功能的合格产品 [4] - 小太阳或暖风机保持一米以上距离 避免长时间照射同一部位或覆盖衣物 [4] - 红外灯或理疗仪使用时注意安全距离 避免局部过热 确保支架稳固 [4] - 泡脚或洗澡前应先试温 水温最好接近体温37℃ 糖尿病患者慎用热水泡脚 [4] - 家人应为老人、孩子、卧床和糖尿病患者定时检查皮肤 发现发红、发白、水疱或麻木刺痛立即停用设备 [4] 取暖设备选购标准 - 应选择有3C认证、温控保护和自动断电功能的产品 [5] - 拒绝使用老化破损或无品牌的设备 [5] 低温烫伤发生后的紧急处理措施 - 立即脱离热源 用流动冷水冲洗创面15至30分钟以降温止痛 [6] - 轻柔脱去衣物防止撕破水泡 继续在冷水中浸泡10至30分钟缓解疼痛 [6] - 用无菌纱布覆盖创面防止感染 并尽快到医院就诊 尤其当出现水疱、皮肤变白或变黑时 [6] - 切勿涂抹牙膏、酱油、醋或香油 不要自行挑破水疱或乱用药膏 以免加重感染或干扰医生判断 [6]
一觉醒来“又红又疼”!福州有医院近期接诊十几例!超半数是年轻人
新浪财经· 2026-01-09 18:26
低温烫伤事件概况 - 福州某高校学生因使用热水袋取暖导致左小腿三度烫伤 创面约一元硬币大小 需接受专业清创治疗[1][3] - 患者元旦期间睡前将热水袋放入被窝 次日发现发红疼痛但未重视 后水疱破裂未处理 五天后疼痛加重影响行走才就医[3] - 医生解释低温烫伤如同“温水煮青蛙” 热力缓慢渗透皮肤深层 初期痛感轻但易造成深层组织坏死[3] 低温烫伤患者特征与趋势 - 近期福州降温以来 福建中医药大学附属第三人民医院创面修复门诊一周内已接诊十余例低温烫伤患者[4] - 绝大多数病例与热水袋、暖宝宝等取暖方式相关[4] - 患者中大学生、年轻上班族占比超半数 烫伤部位多集中在小腿、足部[4] - 喜欢艾灸、使用烤灯养生的人群因长时间接触低热源 也成为高发群体[4] 低温烫伤的临床特点与危害 - 烫伤深度多为Ⅱ-Ⅲ度 呈“口小肚大”的特点[4] - 典型症状为初期红肿、麻木、刺痛 随后起深色血疱 破溃后基底苍白 感觉迟钝甚至丧失[4] - 极易因初期痛感轻微被忽视而延误诊治 容易导致皮肤坏死、创面感染[4] 取暖安全准则与应急处置 - 使用热水袋、暖宝宝时需隔1~2层衣物 避免直接接触皮肤 单次持续接触不超过30分钟[5] - 热水袋水温应控制在50℃以内 电热毯仅睡前预热 入睡后务必断电[5] - 老人、糖尿病患者等感知能力较弱人群 使用热源温度需≤40℃ 并缩短接触时间[5] - 睡眠中皮肤感知迟钝 切勿带着热水袋、暖宝宝入睡[6] - 发生烫伤后应立即用流动冷水冲洗创面20~30分钟降温 切勿自行挑破水疱或涂抹不明药膏 应及时就医[6]
浙江小伙双腿长出“蟒蛇纹”!近期很多人这么做,尤其是睡觉……
新浪财经· 2026-01-07 08:39
冬季取暖设备使用与皮肤健康 - 冬季取暖设备如小太阳、暖手桌垫、电热毯、暖宝宝、热水袋等需求增加,但不当使用可能导致一种名为“火激红斑”或“火激皮炎”的皮肤病 [1] - 近期杭州萧山区皮肤病医院已接诊多例因长时间使用“小太阳”等取暖设备导致小腿出现网状红斑的患者 [1] 火激红斑的病理与症状 - 火激红斑是由于皮肤长期受局部外源性高温刺激(通常为45-50℃)导致的皮肤病,该温度虽不立即造成烫伤,但会引发毛细血管扩张和含铁血黄素沉积,最终导致色素沉着 [3] - 症状表现为持久性的红斑、网状色素沉着,常见于接触热源的部位,如使用电热毯者多见于背部,烤小太阳者多发生于小腿侧 [1] - 早期可能伴有轻微红斑和毛细血管扩张,通常不痛不痒易被忽视,后期皮肤可能出现轻度萎缩和干燥 [3] 高风险人群与预防措施 - 高风险人群包括长期使用火炉、电热毯、暖宝宝等取暖物品者,习惯用过热的水洗澡泡脚者,习惯将笔记本电脑放在腿上使用者,以及长期手握热水杯者 [4] - 预防措施包括:使用取暖设备时温度不宜过高,以皮肤感觉温暖不烫为宜;与热源保持适当距离,避免直接接触皮肤;建议在皮肤和热源之间垫上毛巾或隔热垫;连续使用取暖设备时间不超过30分钟 [4] - 若出现不明原因的网状色素沉着,特别是与使用取暖设备有关,应及时到医院皮肤科就诊 [4]
连贴三晚,膝盖深Ⅲ度烫伤!很多人冬天都在用
新浪财经· 2025-12-22 05:44
低温烫伤风险事件 - 湖南长沙县一名45岁男子为缓解左膝关节疼痛,连续三晚将45℃暖宝宝直接贴在膝盖上入睡,导致深达皮下组织的Ⅲ度烫伤 [1][3] 冬季取暖产品使用建议 - 使用暖气、小太阳、电暖器等取暖设备时,应与人体保持安全距离,尤其需注意老人和小孩的使用温度不宜过高 [4] - 使用热水袋时,不应装得过满,建议在外侧包裹一定厚度的毛巾以避免低温烫伤 [5] - 使用暖宝宝等自热贴时,需严格按照说明书操作,确保与人体皮肤间隔一定厚度 [7] - 使用电热毯时,应严格控制使用时长,建议睡前预热并在入睡时关闭,或选用具备自动控温和过热保护功能的产品 [7] 行业季节性提醒 - 冬季是低温烫伤的高发期,使用任何取暖设备都应控制好温度,若发生烫伤需及时就医 [7]
冬季烧烫伤,牢记五字急救法
新浪财经· 2025-12-20 01:24
冬季儿童烧烫伤风险与防护 - 冬季是儿童烧烫伤高发期,低温烫伤因隐蔽性强、伤害更深,成为易被忽视的“温暖杀手”[2] - 儿童烧烫伤主要集中在低温烫伤、接触性烫伤和热水烫伤三类场景[3] 低温烫伤风险分析 - 低温烫伤由长时间接触略高于体温的低热物体导致,热量持续渗透皮肤深层,损伤更严重[3] - 婴幼儿皮肤厚度仅为成人三分之一,且无法清晰表达不适或自行移开热源,属于高危人群[4] - 常见风险场景包括:暖水袋、电热宝整夜紧贴身体;“暖宝宝”直接贴肤或隔薄衣长时间使用;电热毯整夜开启;新型发热设备使用时距离过近、时间过长[4] - 此类烫伤初期仅表现为皮肤发红、轻微肿胀,易被误判,后期可能发展为深层组织损伤、水泡甚至皮肤坏死,治疗周期长且易留疤[4] 接触性与热水烫伤风险分析 - 接触性烫伤由直接接触高温物体引发,发生突然、伤害集中[5] - 风险源包括:“小太阳”、电暖炉等取暖设备发热管温度可达数百摄氏度;浴室、厨房通热水后的金属水管;桌边的热茶杯、汤锅、火锅等[5] - 热水是家庭最常见烫伤热源,风险遍布厨房、浴室,具体场景包括:放洗澡水时先放热水且未看护;厨房开水壶、汤锅把手朝外;温奶器、恒温水壶放置在孩子可触及高度[5] - 儿童皮肤对高温耐受度远低于成人,45℃左右的热水接触10分钟以上就可能造成烫伤[6] 预防措施 - 预防核心是让“温暖”与“危险”保持距离,需针对不同烫伤类型采取针对性防护[7] - 预防低温烫伤措施:使用暖水袋、电热宝时用厚毛巾或专用布套包裹;电热毯仅用于预热,孩子上床前务必关闭;“暖宝宝”贴在厚衣物外侧,每2-3小时更换位置;优先购买质量合格、带过热保护装置的正规电热产品[7] - 预防接触性和热水烫伤措施:在厨房、浴室安装安全围栏;热水壶、汤锅把手朝向内侧;放洗澡水时遵循“先冷后热”原则,用手肘内侧测温,确保水温在38℃-40℃;做饭、烧水期间避免孩子在厨房玩耍;及时收纳取暖设备电线[7] - 需加强学龄儿童安全教育,引导其远离危险热源;提醒老人规范使用取暖设备[7] 科学急救方法 - 烫伤后错误做法如涂抹牙膏、酱油等,会导致热量无法散发、加重感染,还可能影响医生判断[8] - 正确急救需牢记“冲、脱、泡、盖、送”五字口诀[8] - 第一步“冲”:用流动冷水持续冲洗烫伤部位15-30分钟,头面部等不便冲洗部位可用湿毛巾冷敷,每5分钟更换一次[8] - 第二步“脱”:小心脱去或剪开烫伤部位衣物,若衣物粘连皮肤,切勿强行撕扯,保留粘连部分[8] - 第三步“泡”:冲洗后将烫伤部位浸泡在冷水中10-30分钟进一步降温止痛,烫伤面积较大或伤者为婴幼儿时需缩短浸泡时间[8] - 第四步“盖”:用无菌纱布或干净棉布、毛巾轻轻覆盖创面,保护伤口、预防感染[8] - 第五步“送”:出现以下情况需立即送医:烫伤涉及面颈、生殖器等特殊部位;皮肤出现水泡、破损、发白或变黑;烫伤面积较大;孩子烫伤后哭闹不止、精神萎靡、发热,即使轻微烫伤不确定严重程度也建议就医[8] 核心观点总结 - 儿童烧烫伤预防远比治疗重要,家长切勿抱有侥幸心理[9] - 冬季取暖期间需时刻警惕,排查家中安全隐患,规范使用取暖设备和热源[9] - 科学预防与规范急救相结合,才能最大程度降低烫伤伤害[9]
冰天雪地,如何乐享户外运动
人民日报· 2025-12-19 13:24
冬季户外运动行业 - 冬季户外运动主要包括滑雪、冬泳和徒步等活动,这些活动在冬季受到参与者关注[2] - 行业参与者包括专业教练、医疗机构专家和资深运动者,他们为运动安全和技术提供专业指导[2] 滑雪运动细分市场 - 滑雪装备选择需遵循“实用、适配”原则,雪板长度建议为身高减去10—15厘米的全地域雪板,雪鞋需“紧而不挤”,头盔、雪镜、护脸为必备防护装备,新手建议额外佩戴护臀和护膝[3] - 滑雪运动对参与者体能要求较高,需提前1—2周进行体能储备,核心训练包括平板支撑、臀桥,下肢训练包括深蹲、箭步蹲,并需搭配柔韧性练习,滑雪前必须进行热身,重点活动膝盖、脚踝和髋关节[3] - 新手滑雪应从缓坡滑行和犁式刹车学起,熟练掌握减速与方向控制后再进阶学习转弯技巧,切勿贸然挑战陡坡或中高级道,滑行姿态需保持膝盖微屈、重心前移、上半身放松,转弯应以腿部发力为主[3] - 滑行时需与周围滑雪者保持安全距离,在视线不佳或陡坡路段要提前减速,失控时应学会主动摔倒,向一侧倒地并屈膝抱胸,滑雪间隙需注意休息并补充水分与能量,滑雪后应及时拉伸[3] 冬泳运动细分市场 - 以科学方式冬泳能有效锻炼心血管系统、激活免疫力、改善呼吸功能并提升精神状态,但参与者需提前进行心脑血管和呼吸系统健康筛查以确保安全[4] - 冬泳下水前需充分热身,并采用“逐步适应法”,先用手或毛巾将冷水轻拍胸口和后背等部位,再缓慢入水[5] - 入水后1到2分钟可能出现冷休克反应,表现为呼吸急促和血压波动,此时需保持平稳呼吸并慢速游动,冬泳时间不宜过长,当水温低于14摄氏度时,时间应控制在14分钟以内,且水温每降低1摄氏度,时间应减少约1分钟[5] - 出水后擦拭身体和穿衣有特定顺序,应先擦干脚部,再依次向上擦干四肢与躯干,随后用大浴巾包裹身体并从下往上穿衣,冬泳后需及时补充温热的饮品及食物以恢复体温和储备糖原[5] 徒步运动细分市场 - 冬季户外徒步需科学应对低温、路滑和体能消耗等情况,着装可采用分层保暖法,贴身层需速干排汗且避免棉质材质,中间层需保暖如抓绒或羽绒,外层需防风防水,头部需佩戴帽子,手套需内层有薄抓绒且外层防水,袜子需厚实速干如羊毛袜,面部可使用多功能头巾[6] - 冰雪行走需注意防滑,鞋子可选择摩擦力强的越野鞋、徒步鞋或登山鞋,并配备橡胶套式冰爪或12齿绑缚式冰爪,辅助工具可使用配雪托的登山杖以保持平衡和节省体力,陡坡最好配备冰镐以利于上行和制动[6] - 步法技巧包括雪地步需小步幅且全脚掌着地,冰面步采用企鹅步且重心垂直下降,下陡坡可侧身踏步或蹲着挪步[6] - 饮食方面可食用高热量食物和热饮,条件允许可携带炉头、餐具和食材在野外做饭,低温时需给水袋套上保温套,能量胶需贴身存放以防凝固[6] - 可携带应急装备如救生毯、暖宝宝、冻伤膏、防水GPS和卫星电话等[7] 雪盲症防治相关 - 雪盲症是由于强光及紫外线长时间照射眼睛灼伤角膜上皮引起的暂时性眼部炎症,无传染性,常发生在长时间暴露于冰雪环境尤其是高海拔雪山的人群中,如全天滑雪或长时间冰雪徒步会增加发生概率[7] - 雪盲症症状通常表现为双眼同时流泪、红肿,有痛感、针刺感和沙磨感,症状在4—24小时内加重,易与结膜炎或角膜炎混淆,但结膜炎通常单眼发病且无痛感[7] - 预防雪盲症需佩戴防紫外线强光和红外线的雪镜,最好使用全封闭式雪镜,窄腿雪镜两侧露光也可能引发雪盲[7] - 治疗雪盲症需立即停止户外活动并返回室内或阴影处,检查眼内有无异物且不要揉搓眼睛,需滴抗生素眼药水并闭目休息,冷敷可缓解症状,必要时服用止痛药,症状严重或持续超过24小时应及时就医,轻度患者通过6小时治疗和休息症状大多消失,中度或重度患者需2—4天症状才会消失[7]